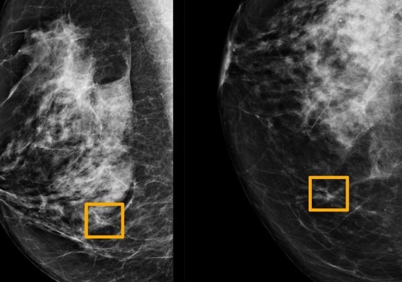
A Google artificial intelligence system was as good as expert radiologists at discovering which women had breast cancer in a new study. The system made the findings from thousands of mammogram images, researchers in the United States and Britain reported. This is the newest study to show that artificial intelligence, or AI, may improve the accuracy of mammograms. Breast cancer affects one in eight women around the world. The study was published in the journal Nature. The American Cancer Society says radiologists miss about 20 percent of breast cancers in mammograms. And many women who get the tests have a false positive result at some point. A false positive result shows a woman with cancer even though she does not have it. The findings of the study were developed with DeepMind AI, which joined with Google Health in September.

What does accuracy mean?
artificial intelligence
having no mistakes
false positive results
radiology images
What journal published the study?
Cancer
Science
Nature
Intelligence
Many women have a false positive result.
false negative
questionable
false positive
not accurate