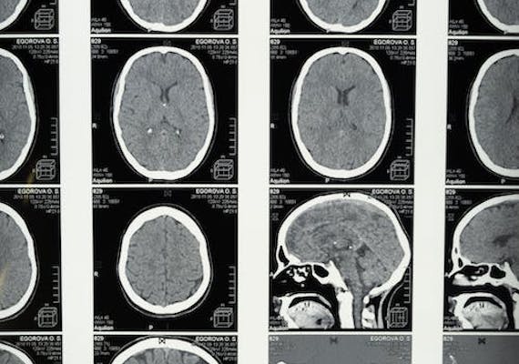
Another experimental Alzheimer’s drug has been shown to slow patients’ worsening conditions, researchers reported Monday. The American drug company Eli Lilly said it is seeking U.S. Food and Drug Administration (FDA) approval for the drug donanemab. If approved, it would be the second Alzheimer’s treatment for delaying the disease. Alzheimer’s affects the brain and causes memory loss and dementia. The FDA approved Leqembi, from Japanese drugmaker Eisai, earlier this month. “Finally there’s some hope, right, that we can talk about,” Lilly’s Dr. John Sims told reporters Monday at the Alzheimer’s Association International Conference in Amsterdam, the Netherlands. The drug does not cure the disease. Instead, it slows its progression by about four to seven months. But Sims noted that “it doesn’t mean you can’t have very meaningful treatments for patients.” Eli Lilly published the full results of its study of 1,700 patients in the Journal of the American Medical Association. It also presented its results at the Alzheimer’s conference.
Title: Another Alzheimer's Drug Showing Promise
Content: <div id='article-page'><div id='article-content' data-media-url='//news-app-staging.s3.amazonaws.com' data-base-url='//news-app-staging.herokuapp.com' data-sound-name='https://news-app-production.s3.amazonaws.com/articles/5938/T20.wav' data-capture-url='//staging.analytics.lingraphica.com/events/capture_news' data-article-title=' Another Alzheimer's Drug Showing Promise' data-article-id='6546'><script src='//news-app-staging.herokuapp.com/javascripts/getscripts.js'></script><link rel='stylesheet' href='//news-app-staging.herokuapp.com/stylesheets/article.css' type='text/css' /><div class='article'><p><span data-start-time='0' data-end-time='11500'>Another experimental Alzheimer’s drug has been shown to slow patients’ worsening conditions, researchers reported Monday.</span> <span data-start-time='11500' data-end-time='22813'>The American drug company Eli Lilly said it is seeking U.S. Food and Drug Administration (FDA) approval for the drug donanemab. </span> <span data-start-time='22813' data-end-time='29313'>If approved, it would be the second Alzheimer’s treatment for delaying the disease. </span> <span data-start-time='29313' data-end-time='36417'>Alzheimer’s affects the brain and causes memory loss and dementia.</span> <span data-start-time='36417' data-end-time='44229'>The FDA approved Leqembi, from Japanese drugmaker Eisai, earlier this month.</span> <span data-start-time='44229' data-end-time='58958'>“Finally there’s some hope, right, that we can talk about,” Lilly’s Dr. John Sims told reporters Monday at the Alzheimer’s Association International Conference in Amsterdam, the Netherlands.</span> <span data-start-time='58958' data-end-time='62000'>The drug does not cure the disease. </span> <span data-start-time='62000' data-end-time='67708'>Instead, it slows its progression by about four to seven months. </span> <span data-start-time='67708' data-end-time='75292'>But Sims noted that “it doesn’t mean you can’t have very meaningful treatments for patients.”</span> <span data-start-time='75292' data-end-time='85708'>Eli Lilly published the full results of its study of 1,700 patients in the Journal of the American Medical Association. </span> <span data-start-time='85708' data-end-time='89958'>It also presented its results at the Alzheimer’s conference.</span> </p></div><div class='control-buttons-sticky' style='display:none;'><div class='control-buttons'><button title='Back' class='back' disabled='disabled'></button><button title='Play' class='play' disabled='disabled'></button><button title='Pause' class='pause' style='display:none;'></button><button title='Forward' class='forward' disabled='disabled'></button><button class='finished-reading' style='display:none;'>Done</button></div></div></div><div id='article-media'><div id='media-image'><img src='https://news-app-production.s3.amazonaws.com/articles/5938/T20.jpeg'/></div></div><div id='question-content' style='display:none;'><div class='sentence_completion_question question-container' data-question-id=19609 data-hint-location='58958' style='display:none;'><div class='question' data-sound-name='https://news-app-production.s3.amazonaws.com/articles/5938/the_drug_does_not__blank__the_disease_.wav'>The drug does not <span class='blank'>cure</span> the disease. </div><div class='choices' data-correct-choice='cure'><div class='choice' data-sound-name='https://news-app-production.s3.amazonaws.com/articles/5938/candle.wav'><span>candle</span></div><div class='choice' data-sound-name='https://news-app-production.s3.amazonaws.com/articles/5938/cuddle.wav'><span>cuddle</span></div><div class='choice' data-sound-name='https://news-app-production.s3.amazonaws.com/articles/5938/cure.wav'><span>cure</span></div><div class='choice' data-sound-name='https://news-app-production.s3.amazonaws.com/articles/5938/adore.wav'><span>adore</span></div></div></div><div class='multiple_choice_question question-container' data-question-id=19610 data-hint-location='75292' style='display:none;'><div class='question' data-sound-name='https://news-app-production.s3.amazonaws.com/articles/5938/in_which_medical_journal_were_the_results_of_the_study_published_.wav'>In which medical journal were the results of the study published? </div><div class='choices' data-correct-choice='Journal of the American Medical Association'><div class='choice' data-sound-name='https://news-app-production.s3.amazonaws.com/articles/5938/the_farmers_almanac.wav'><span>The Farmers' Almanac</span></div><div class='choice' data-sound-name='https://news-app-production.s3.amazonaws.com/articles/5938/atlas_of_the_united_states.wav'><span>Atlas of the United States</span></div><div class='choice' data-sound-name='https://news-app-production.s3.amazonaws.com/articles/5938/book_of_love_and_life.wav'><span>Book of Love and Life</span></div><div class='choice' data-sound-name='https://news-app-production.s3.amazonaws.com/articles/5938/journal_of_the_american_medical_association.wav'><span>Journal of the American Medical Association</span></div></div></div><div class='vocabulary_question question-container' data-question-id=19611 data-hint-location='44229' style='display:none;'><div class='question' data-sound-name='https://news-app-production.s3.amazonaws.com/articles/5938/which_of_the_following_best_defines_the_word_hope_within_the_context_of_the_article.wav'>Which of the following best defines the word "hope" within the context of the article?</div><div class='choices' data-correct-choice='grounds for believing that something good may happen'><div class='choice' data-sound-name='https://news-app-production.s3.amazonaws.com/articles/5938/grounds_for_believing_that_something_good_may_happen.wav'><span>grounds for believing that something good may happen</span></div><div class='choice' data-sound-name='https://news-app-production.s3.amazonaws.com/articles/5938/a_negative_response.wav'><span>a negative response</span></div><div class='choice' data-sound-name='https://news-app-production.s3.amazonaws.com/articles/5938/a_statement_intended_to_generate_laughter.wav'><span>a statement intended to generate laughter</span></div><div class='choice' data-sound-name='https://news-app-production.s3.amazonaws.com/articles/5938/the_state_of_being_calm_and_collected.wav'><span>the state of being calm and collected</span></div></div></div><div class='question-buttons'><button class='skip-button'></button><button class='hint-button'></button><button class='speak-button'></button></div></div></div>
Sound Name: https://news-app-production.s3.amazonaws.com/articles/5938/T20.wav
Preview
